헤르페스각막염(단순포진각막염) (Herpes simplex keratitis)
헤르페스바이러스는 입주변이나 입안에 궤양을 일으키는 바이러스로 잘알려져 있으나 눈에서도 각막염을 일으키는 주요 원인입니다. 유년기에 헤르페스 바이러스에 처음 감염이 되면 감염부에서 3차신경절로 가서 잠복해 있다가 숙주의 면역력이 떨어지거나 하게 되면 바이러스가 재활성화 되어 감염을 일으키게됩니다.
처음 감염인지 재발성 감염인지에 따라 원발성헤르페스감염과 재발성헤르페스감염으로 나눌 수 있는데 원발성은 대부분(94%)에서 무증상이나 경미한 증상을 보이며 1-5세때 주로 감염되고 바이러스결막염 및 눈병과 유사한 증상을 보입니다. 보통 저절로 치료되기때문에 꼭 치료가 필요하지는 않으나 치료된 후에도 헤르페스바이러스 자체는 신경절로 이동하여 잠복해 있기때문에 성인이되서 재발을 일으키게됩니다. 재발성헤르페스감염은 눈꺼풀염, 결막염, 각막염, 공막염, 섬유주염, 홍채섬모체염, 망막염등 여러가지 증상으로 나타날 수 있으며 평균 34-39세때 첫증세가 나타납니다. 주제인 헤르페스각막염은 임상양상에 따라 감염상피각막염, 신경영양각막병증, 기질각막염, 각막내피염으로 나눌 수 있으며 치료방법에 있어서 약간씩 차이가 있습니다.

각막상피각막염은 실제 바이러스가 활성화되서 살아있는 상태로 소수포-> 가지모양 궤양(사진) -> 지도모양궤양(사진) -> 흉터 순으로 진행이되며 통증과 눈부심, 눈물, 시력감소와 같은 증상이 발생합니다. 또한 각막의 감각도 소실되거나 줄어들어 궤양정도에 비해서는 세균각막염보다 통증은 덜할수 있습니다. 치료는 감염상피를 제거하고 항바이러스제 안약을 점안해야하며 2-3주간 점안해야합니다. 스테로이드는 바이러스 활성을 증가시킬 수 있기 때문에 감염상피각막염에서는 사용하지 않는게 좋습니다.

신경영양각막병증(사진)은 헤르페스각막궤양이 치유된 후 상피세포와 바닥막이 불완전하게 부착되면 치유된 상피가 손실되며 궤양으로 진행되는 형태로 바이러스가 살아있지 않으므로 항바이러스제를 사용하는 것은 오히려 상태를 악화시킬 수 있습니다. 각막지각이 저하되어 반사눈물분비가 줄고, 눈깜빡임 횟수가 줄어 눈물점도 증가 및 각막표면손상이 진행되고 각막상피재생이 치유가 어렵습니다. 각막상피재생이 잘 안되 상피결손이 오래되면 기질에도 궤양이 생겨 영구적인 흉터가 남게되어 영구적 시력손상이 발생하므로 상피결손 치료를 빨리해야합니다. 치료는 병변크기가 작을경우 인공눈물 자주 점안 및 항생제 연고점안을 해보고 호전이 없는경우 자가혈청안약을 제조해 사용하거나 치료용렌즈를 사용하고 눈꺼풀 봉합을 하여 각막노출을 막을 수 있으며 천공의 위험이 있는 경우 결막이식, 양막이식, 전층각막이식을 하는경우도 있습니다.
기질각막염부터는 기질이 침범되기 때문에 각막에 반흔이 남아 영구적인 시력저하가 오게 됩니다. 바이러스 생존 여부에 따라 괴사기질각막염(바이러스존재)과 면역기질각막염(바이러스없이 면역반응)으로 나눌 수 있고 괴사기질각막염의 경우 드물지만 여러번의 상피헤르페스각막염이 발생 후 생길 수 있고 치료가 어렵고 잘되지 않습니다. 기질각막염의 경우는 치료시 항바이러스제와 스테로이드를 같이 사용하며 각막상피결손이 있는경우는 점안스테로이드 대신 경구스테로이드를 사용합니다.

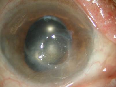
각막내피염(사진)은 주로 면역반응으로 일어나며 각막부종, 데스메막주름 등을 보이고 치료는 항바이러스제는 효과가 없고 점안스테로이드나 경구 스테로이드를 사용해서 치료합니다. 내피염의 경우 안압이 오르는 경우도 있어 안압하강제를 사용해야될 때도 있습니다.
재발성헤르페스각막염이 자주 재발되는 경우 항바이러스제(Acyclovir)를 1년정도 장기간 복용하여 재발을 줄이기도 합니다.
헤르페스각막염의 경우 특별한 외상이나 렌즈착용등의 다른 각막염이 원인 없이 각막염소견을 보이는 경우, 특히 특징적인 가지모양병변을 보이는 경우 쉽게 진단할 수 있으며 항바이러스제 점안으로 치료할 수 있지만 신경영양각막병증으로 진행되는 경우는 진단 및 치료가 어렵기때문에 주의해야합니다.
대상포진각막염 (Herpes zoster ophthalmicus)
대상포진은 수두바이러스가 신경절에 잠복해있다가 숙주의 면역력이 떨어진 경우 신경절 증식 후 감각신경 통해 피부병변을 일으키는 질환으로 가슴신경분포를 따라 발생하는 경우가 가장 흔하지만 삼차신경절 중 눈분지를 침범하는 경우에는 눈꺼풀이나 결막, 각막을 침범하는 경우가 있습니다. 특히 코 끝에 수포가 생기는 경우 Hutchinsons sign이라고 하여 광범위한 안내신경이 침범되어 안과적 후유증이 발생가능한 위험한 소견으로 안과적 검사가 반드시 필요합니다.

대상포진각막염은 피부병변 없이도 오는경우가 있으며 점상각막염, 가성수지각막염형태가 가장 흔하고 헤르페스각막염 처럼 각막기질침범하는 경우도 40%나 되서 영구적 시력저하를 일으킬 수 있고 신경영양각막병증도 25%에서 일으킬 수 있습니다. 신경영양각막병증의 경우 헤르페스보다 신경절손상이 심해 각막지각저하가 헤르페스각막염보다 심하여 예후가 더 안좋은 경우가 많고 내피염, 포도막염, 홍채염 모두 가능하며 섬유주 염 및 포도막염으로 녹내장까지 오기도 합니다. 치료는 항바이러스제가 신경절 손상을 억제하기 때문에 모든 안부대상포진환자에서 초기부터 전신 항바이러스제를 사용해야 하며 각막염이 동반된 경우 점안항바이러스제 및 국소스테로이드도 같이 투여해야 합니다.
'외안부질환' 카테고리의 다른 글
| 세균결막염 (Bacterial conjunctivitis) (0) | 2021.06.17 |
|---|---|
| 바이러스결막염 (Viral conjunctivitis) (0) | 2021.06.16 |
| 기생충각막염 (가시아메바각막염) (0) | 2021.06.12 |
| 진균각막염 (Fungal keratitis) (0) | 2021.06.07 |
| 세균각막염 (Bacterial keratitis) (0) | 2021.06.06 |