진균은 흔히 곰팡이균으로 알려져 있으며 형태에 따라 사상진균(균사가 있음), 효모, 이상성진균으로 나뉘고 사상진균은 대표적으로 아스페르길루스와 퓨사리움이 있고 효모에는 칸디다가 있습니다.

진균각막염은 일반적으로 진단과 치료가 어려운데 그 이유는 임상 징후가 서서히 나타나고, 진균의 독성과 파괴력이 불명확하며, 항진균제 감수성검사와 임상효과가 불일치하고 안전하고 효과적인 항진균제가 제한적이기 때문입니다. 따라서 진단이 늦거나 세균각막염으로 잘못치료를 해서 진행이 많이 된 경우가 많고 항진균제를 사용하더라도 치료에 대한 반응이 늦기 때문에 후유증을 남기는 경우가 대부분입니다.
원인균 및 위험인자
주된 원인균은 아스페르길루스, 퓨사리움, 칸디다가 있으며 원인균에 따라 효과적인 항진균제가 다릅니다.
위험인자는 나뭇가지나 식물, 톱밥, 흙에 오염된 이물 등에 의한 외상이 가장 흔하고, 콘텍트렌즈 사용, 점안스테로이드 사용, 봄철각결막염, 굴절교정술, 대상포진이나 단순포진바이러스 각막염 후, 각막이식 받은경우나 면역저하와 연관된 전신질환(당뇨, 에이즈 등)이 있는 경우가 있습니다. 진균은 심층각막기질까지 침범하여 데스메막을 통과하고 전방, 홍채, 수정체, 공막까지 도달하면 완전한 제거는 거의 불가능해지기 때문에 안구적출을 해야되는 경우도 발생할 수 있으므로 조기에 치료를 잘하는게 중요합니다.
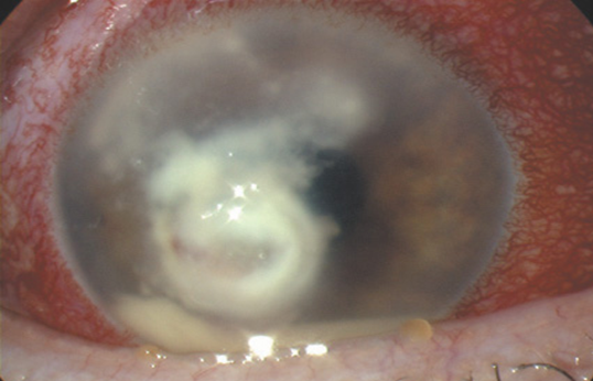
증상

결막충혈과, 전방축농(고름), 각막침윤과 혼탁, 궤양과 중심병변 주변으로 발생하는 위성병변들이 보이며 궤양이 생기기때문에 통증이 생깁니다. 세균각막염과의 차이는 진균각막염이 화농성염증반응이 적고 각막주변부가 적게 포함되고 통증이 경미한 반면 전방축농은 더 흔합니다.
진단
치료에 반응이 없는 세균각막염 처럼 각막찰과(수술칼로 병변을 긁음)를 하여 배양검사와 도말표본으로 검사를 하여 진단을 합니다. 세균각막염과는 달리 진균각막염에서는 각막찰과검사가 반드시 필요하기 때문에 대학병원 진료가 필요합니다.
치료
항진균제를 사용해야하는데 진균제에 반응이 느리기 때문에 최소 1개월이상의 지속적인 항진균제 투여가 필요하며 항진균제 안약 점안 및 전신 항진균제 복용도 같이 필요합니다. 현재는 나타마이신이 진균각막염의 일차 선택약제로 사용되고 있으나 보험적용이 되려면 배양검사에서 진균이 증명이 되야하기 때문에 보험적용이 힘들고 약값이 많이 비싸다는 단점이 있으며 그 외에 보리코나졸이나 암포테리신과 같은 항진균제를 안약으로 조제하여 사용하기도 합니다. 각막상피는 항진균제 점안 시 장벽으로 작용하기 때문에 각막상피와 괴사조직의 제거(debridement)는 진균각막염 치료시 필수적이며 특히 초기치료시에는 중요하여 24-48시간마다 실시하는것이 좋습니다. 스테로이드는 진균의 병원성을 증가시키고 증식을 유발하기 때문에 주의가 필요하며 초기치료에는 금기이고 최소 2주이상 항진균제 사용 후 감염이 조절되는 명백한 증거가 있을때만 사용합니다. 안약 점안 및 내과적 치료에도 각막염이 호전되지 않을경우 외과적인 수술치료를 고려하게 됩니다. 수술적 치료는 각막천공시 조직접합제로 천공을 막거나, 표층각막절제술, 결막판이식, 전층각막이식 등이 시행되고 있습니다.
진균각막염의 경우 진단이 늦고 치료가 잘되지 않기때문에 예후가 좋지 않으며 1/3에서 내과적 치료가 실패하고 결국 각막천공으로 진행되는 무서운 병입니다. 치료가 되더라도 각막혼탁 및 후유증이 남기떄문에 시력저하가 발생 할 수 밖에 없습니다. 따라서 나뭇가지나 식물, 톱밥, 흙에 오염된 이물에 의한 각막외상을 조심하여 진균각막염을 예방하는것이 가장 중요하고 발생한다면 세균각막염이나 다른 각막염과 감별하여 조기 치료를 하는것이 중요합니다. 조기 치료를 한다고 하더라도 각막혼탁이나 후유증 발생을 막을 수는 없겠지만 각막천공이나 안구적출로 진행되는것은 방지해야 되기 때문입니다.
'외안부질환' 카테고리의 다른 글
| 세균결막염 (Bacterial conjunctivitis) (0) | 2021.06.17 |
|---|---|
| 바이러스결막염 (Viral conjunctivitis) (0) | 2021.06.16 |
| 기생충각막염 (가시아메바각막염) (0) | 2021.06.12 |
| 바이러스각막염 (Viral Keratitis) (0) | 2021.06.09 |
| 세균각막염 (Bacterial keratitis) (0) | 2021.06.06 |