무균침윤 (sterile infiltrate)

- 각막 기질내에 다형핵백혈구와 단핵세포와 같은 염증세포가 침윤되는 현상입니다.
- 임상증상 : 대개 1-2mm 정도의 백색의 원형 또는 활모양의 침윤이 정상상피 아래에 앞기질혼탁 형태로 나타납니다. 여러개가 동시에 생기는 경우가 많고 윤부로부터 1-2mm 이내의 주변부에 잘생깁니다. 한부분에 집중해서 생기거나 주변부로 퍼질 수도있으며 대개 상피손상이나 전방염증은 거의 없습니다. 심한 통증 보다는 자극감과 가벼운 눈부심 등의 증상 또는 증상이 없을 수도 있습니다.
- 원인 : 손상된 상피, 저산소증, 콘택트렌즈 용액의 독성, 세균 항원 등이 원인이 됩니다.
- 잘 때 착용시 많이 발생하고 연속착용 소프트렌즈 > 일일착용 소프트렌즈 > 하드렌즈 순으로 발생확률이 높습니다.
- 치료 : 렌즈착용을 중단하고 국소항생제 등을 사용하며 감염 가능성이 있으면 감염에 준해 치료해야합니다. 보존제가 없는 식염수나 과산화수소 소독액, 렌즈교체, 일일착용 또는 하드렌즈로 교체가 필요합니다.
- 감염성 침윤과 감별이 중요하고 의심스러우면 감염성인 것으로 생각하고 치료해야합니다.

찰과상
- 심각한 부작용으로 각막침윤(염증)이 있는지 확인하고 각막궤양에 준해서 치료해야합니다. 찰과상이 있는경우 감염 위험성이 높으므로 국소스테로이드는 사용하면 안되고 예방적 국소항생제 점안 등이 필요합니다.
1. 각막상피의 진무름
- 렌즈 삽입과 제거시에 발생할 수 있습니다. 크기가 크고 심한 통증을 유발하지만 쉽게 치료되고 후유증은 없습니다.
- 각막과 렌즈사이에 이물이 있는 경우 생길수 있고 전형적인 곡선모양입니다
- 렌즈 가장자리가 부서지거나 깨진경우 발생할 수 있습니다.
2. 점모양각막상피병증 (punctate epitheliopathy)
- 중심부 염색 : 렌즈가 편평한경우, 원추각막에서 원추의 정점에서 발생할 수 있습니다.
- 주변부 염색 : 렌즈가 가파른 경우, 궁형(arcuate) 염색, 위쪽 각막의 궁형 염색은 그 외에도 렌즈 움직임이 좋지 않거나 광학부가 큰경우게 발생할 수 있습니다.
- 소프트렌즈 : 아래 중심부나 아래쪽 주변부에 점모양상피병증이 나타날 수있고 각막상피의 건조에 의해 생깁니다. 증상 발생시 하드렌즈(RGP)로 교체가 필요합니다.
3. 상피분할 (epithelial splitting)
- 상부각막상피의 궁형병변(superior epithelial arcuate lesions, SEALs)
- 상각막에 수평방향으로 엷은 형광염색을 보이는 흰색의 선으로 나타나고 윤부와 병변 사이의 상피는 정상입니다.
- 상부눈꺼풀 장력이 세서 발생하는 것으로 생각되고 착용 중단시 대개 24시간 후에 사라집니다.
- 재발방지 위해 하드렌즈(RGP)로 교체가 필요합니다.
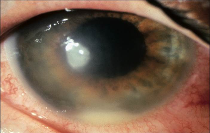
감염

- 렌즈에 의해 방어기전의 지장을 받고 렌즈자체가 생물 증식을 위한 부착부를 제공해 줄 수 있어 렌즈를 착용하는 경우 감염각막염의 위험성이 높아집니다.
- 세균각막염 75%, 진균각막염 25%, 소프트렌즈 > 하드렌즈(RGP), 연속착용렌즈 > 일일착용렌즈
- 세균각막염 : 녹농균이 가장 흔하고 연속착용렌즈가 일일착용렌즈보다 감염위험도가 10-15배 높습니다. 일회용 렌즈의 경우 수면시 렌즈착용하는 경우가 많아 연속착용렌즈와 감염발생빈도가 비슷합니다. 각막염 발생 위험은 수면시 렌즈 착용여부가 가장 중요한 인자입니다.
- 진균각막염 : 사상진균은 미용, 무수정체 콘택트렌즈에서 많이 바랭하고 효모는 치료용콘택트렌즈에서 발견됩니다.
- 가시아메바각막염 위험성도 있습니다. (렌즈끼고 수영장, 해변에 놀러간 경우 등)
콘택트렌즈 유발 각결막염

- 젊은 나이(15-35세)에 주로 발생합니다.
- 원인 : 보존용액에 대한 민감성 혹은 독성반응이나 부분적인 윤부줄기세포결핍, 과도한 렌즈 움직임 등
- 증상 : 위안구결막의 충혈과 비후, 상각막상피의 침범, 넓은 부위의 결막병변, 소판누스 관찰, 이물감, 눈물흘림, 눈부심, 작열감 가려움, 불규칙한 상피나 점상각막염에 의한 시력저하를 호소할 수 있습니다.
- 치료 : 증상이 없어질때까지 렌즈착용 중단, 무방부제 인공눈물 등을 사용합니다.
- 상윤부각결막염과 감별이 중요합니다.

거대유두결막염

- 렌즈 표면의 단백질 항원에 대한 4형 지연형 과민반응과 1형 과민반응에 의해 발생합니다.
- 빈도는 소프트렌즈 > 하드렌즈 (RGP) > PMMA 순으로 발병합니다.
- 과도한 렌즈 움직임, 렌즈표면의 침착물이 많을 수록, 렌즈크기가 클수록, 착용시간이 길수록, 수면시 착용할 경우 심해집니다.
- 치료 : 결막과 항원의 접촉을 줄이고 약제를 투여하여 면역반응을 감소 시키는게 중요합니다. 렌즈착용 전후 장기간 비만세포안정제와 항히스타민 점안약을 사용합니다. 렌즈착용을 중단하면 증상은 즉시 소실되나 결막 병변은 수개월 지속될 수 있고 렌즈를 계속 써야되는 경우엔 렌즈종류(연속착용렌즈 -> 일회용렌즈)와 관리용액을 교체하고 착용시간을 줄여야 합니다. 과산화수소를 사용하여 소독하고 주 1-2회 효소를 사용하여 세척합니다.
저산소증
각막에는 투명성을 유지하기 위해 혈관이 없고 공기 중의 산소로 대사활동을 합니다. 소프트렌즈를 착용하는 경우 각막전체를 소프트렌즈가 덮기 때문에 산소공급이 줄게 되고 장기간 소프트렌즈를 착용하는 경우엔 저산소증이 생기게 됩니다.
1. 급성 저산소증
- 상피의 대사장애를 일으켜 상피의 부종과 탈락이 일어납니다.
- 흐림과 달무리, 통증, 충혈, 눈부심, 점모양각막결손 등의 증상이 나타나니다.
- 착용을 중단하면 곧 회복되고 착용시간을 줄여서 재발 가능성을 낮출 수 있습니다.
2. 만성 저산소증
- 상피소낭(epithelial microcyst) : 주로 수면시 렌즈를 착용하는 환자에서 주로 나타나고 10-15um 상피 심층부에서 표면으로 이동하고 형광염색, 고이는 함몰소견을 보입니다. 대개 증상 없고 렌즈 착용 중단 또는 주간에만 렌즈를 착용하면 사라집니다.
- 표재성의 각막신생혈관
: 특히 소프트렌즈의 경우, 주로 상윤부에 심하게 생깁니다. 대개 윤부로부터 2mm 이내의 신생혈관은 환자에게 불편감을 느끼게 하지는 않습니다. 신생혈관이 각막에 침범하게 되면 지질침착, 각막흉터, 각막내출혈, 혼탁 등을 일으켜 시력의 소실을 유발할 수 있습니다.
신생혈관 1.5 mm 미만 - 착용시간을 줄이고 산소투과율 높은 렌즈나 하드렌즈로 교체하여 진행을 억제합니다.
신생혈관 2mm 이상 - 렌즈착용을 즉시 중단하고 많은 호전이 있은 후에만 새 렌즈를 시도 가능합니다.
고도근시에서는 소프트렌즈 주변부가 매우 두꺼워져 주변부 산소공급이 낮아지고 각막신생혈관, 윤부결핍 등이 발생할 수 있어 윤부를 덮지않는 하드렌즈로 교체하는게 좋습니다.
각막뒤틀림
- 렌즈착용시에는 별 증상이 없으나 안경에 의한 교정시력이 떨어집니다. 각막곡률측정과 각막지형도 검사 등에서 불규칙난시 소견을 보입니다. 렌즈에 의한 저산소증과 렌즈의 정렬이 각막과 잘 맞지 않는 경우 기계적 압박에 의해 발생합니다. 치료는 렌즈착용을 중단하면 수개월 후 회복됩니다.
'외안부질환' 카테고리의 다른 글
| 치료용 콘택트렌즈 (0) | 2021.09.09 |
|---|---|
| 공막염 (Scleritis) (2) - 감염공막염 (0) | 2021.08.29 |
| 공막염 (Scleritis) (1) - 비감염공막염 (0) | 2021.08.22 |
| 상공막염 (Episcleritis) (2) | 2021.08.19 |
| 결막 상피하 종양 (0) | 2021.08.14 |