각막변성증은 각막이상증과는 달리 유전성이 아니고 중년 이후에 많이 발생합니다. 또한 단안에만 생기거나 비대칭적이고 주변부에 주로 생기며 전신질환도 흔히 동반됩니다. 나이와 연관된 각막변성에는 노인환, 윤부띠, 하살-헨레소체, 악어가죽반, 고랑각막변성, 분말형각막, 패임 등이 있고 나이와 관련없는 각막변성에는 지방각막변성, 공모양각막변성, 띠각막병증, 아밀로이드 각막변성, 잘쯔만결절변성, 테리엔각막가장자리변성, 각막켈로이드, 석회각막변성, 코우트각막백색환, 철선 등이 있습니다. 이번 내용은 나이와 연관된 각막변성에 대해서 알아보고 다음챕터에서 나이와 관련없는 각막변성에 대해서 기술하겠습니다.
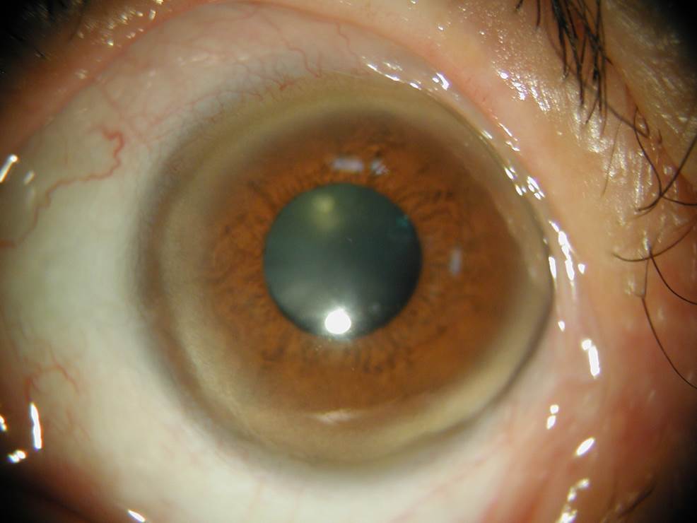
노인환 (Arcus senilis)

양안이 대칭적이고 나이가 들면서 수년에 걸쳐 서서히 진행되는 퇴행성변화입니다. 여자보다 남자에서 흔하고 모든 남성의 2/3이 40-60대에 노인환을 보이고 80세경에는 거의 100% 노인환이 나타납니다.
원인 : 각막주변부의 지방침착으로 아래쪽에 황백색으로 시작해서 위쪽으로 진행되어 원형이 됩니다. 지방성분은 데스메막 위쪽에 침착되고 이후 보우만층에 침착되며 진행되면 기질에 위치하지만 윤부는 보존됩니다. 혈관으로부터 생기며 콜레스테롤, 콜레스테롤에스테르, 인지질, 중성지방으로 구성되어 있습니다.
편측환 : 한쪽눈에만 노인환이 있는경우는 환이 없는쪽 눈의 경동맥 폐쇄 (혈류량 감소로인해 지방침착이 안됨) 또는 환이 있는쪽의 저안압증의 가능성이 있어 주의가 필요합니다.
40세 이하에서 노인환을 가진 환자의 경우 고지혈증 2,3형에 대한 검사가 필요하고 심장질환의 위험성이 증가합니다.
치료 : 시력에 영향이 없고 노화 현상으로 치료가 필요하지 않습니다.
윤부띠 (Limbal girdle)
눈꺼풀사이 각막윤부에서 발견되는 초승달모양의 노란-흰색 띠로 대개 양안 대칭적입니다. 귀쪽보다는 코쪽각막윤부에 잘생기고 아래쪽 각막윤부 노출시에는 아래쪽에도 생깁니다. 증상이 없고 치료도 필요하지 않습니다. 나이가 들면서 증가하며 20세이전에는 발견되지 않고 40-60세엔 55%, 80세이상에서는 100%에서 보입니다. 형태에 따라 2가지로 분류할 수 있습니다.

악어가죽반 (Crocodile shagreen)

악어피부처러 보이는 각막의 모자이크 양상으로 육면체 혼탁을 보입니다. 대개 각막의 앞쪽 또는 뒤쪽에서 대개 양측성입니다. 앞, 뒤 유형 모두 가운데가 희고 투명한 형태의 회색, 다각형 혼탁을 보입니다.
원인 : 각막전체의 긴장완화로 불규칙적으로 배열된 아교질이 톱니모양을 이루면서 회색 혼탁을 보인다고 생각됩니다.
전면형 : 보우만층 주름, 노화현상 외에도 하드렌즈착용, 원추각막, 외상, 띠각막병증, 저안압증 등과도 연관
후면형 : 데스메막부근 각막의 기질에 주름으로 오직 나이에 따른 변성으로만 생깁니다.
일반적으로 혼탁은 시력저하를 일으키지 않고 치료가 필요없습니다.
고랑각막변성 (Furrow degeneration)

노인환과 각막윤부혈관망 사이의 무혈관의 주변 각막이 얇아지는 변성으로 흔하지 않으며 노인환자에서 주로 나타납니다. 난시를 만드는 경우가 적으며 시력에 영향을 주지 않습니다. 따라서 신생혈관이나 염증, 천공의 위험성이 없고 증상이 없으면 치료가 필요하지 않습니다.
분말형각막 (Cornea farinata)

데스메막 근처의 후부 각막기질에서 발견되는 양측성, 회갈색/흰색 밀가루먼지 모양의 미세혼탁을 보이는 질환으로 증상이 없는 퇴행성 병변입니다.
주로 동공근처에서 보이고 밀가루 먼지같이 보입니다. 대부분 시력저하는 없으며 유전될 수 있습니다. 조직검사상 지방갈색소과 같은 변성물질로 채워진 공포들이 후부 각막기질 각막세포에서 발견됩니다. 치료는 필요하지 않습니다.
패임 (Dellen)
노인성 변화의 일환 또는 다른 각결막이상의 속발성으로 발생할 수 있습니다.
원인 : 백내장 수술후, 결막부종, 사시수술후, 녹내장수술 후, 상공막염, 결막염, 검열반, 군날개, 마취제, 토끼눈 등으로 눈물층이 불안정해지면 각막 윤부가 얇아지면서 발생합니다.
주로 귀쪽 주변부각막에 잘생기고 융기된 부분 근처에서 눈물이 잘 고이지 않아 각막표면이 접시모양으로 함몰됩니다. 각막상피 진무름이나 상처는 없으나 각막상피, 보우만층, 각막기질전면이 얇아집니다. 보통 일시적이라 24-48시간 지속된 후 호전됩니다.
치료 : 인공눈물과 같은 윤활제를 사용하고 압력차폐(Pressure patch)를 하는 겨우 더 빨리 호전될 수 있습니다.

나이와 연관된 각막변성은 대부분 증상이 없고 치료가 필요하지 않은 질환입니다. 따라서 이런 소견을 보인다고 하더라도 걱정하지 않으셔도 됩니다. ^^
'외안부질환' 카테고리의 다른 글
| 원추각막 (Keratoconus) (0) | 2021.07.20 |
|---|---|
| 각막변성증 (Corneal degeneration) (2) - 나이와 관련없는 변성 (0) | 2021.07.15 |
| 각막이상증 (3) - 각막내피이상증 (Endothelial corneal dystrophy) (0) | 2021.07.12 |
| 각막이상증 (2) - 각막기질이상증 (Stromal corneal dystrophy) (0) | 2021.07.09 |
| 각막이상증 (1) - 전부각막이상증 (Ant. corneal dystrophy) (0) | 2021.07.09 |